1. OPD ALCOHOL INTOXICATION Definition Local Alcohol Wines and Spirits Intoxication Signs.Symptoms Thiamine in Dextrose Rx Dextrose Rx Multivitamin Rx Nursing Care Plan Nursing Care Plan
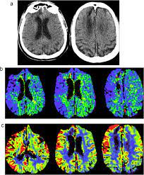
2. Medical Ward Anaemia Definition Tests-BMA Anemia Symptoms Anemia Symptoms Types of Anaemia Tests-CBC Anemia Symptoms Anaemia Treatment Tests-Occult Blood Tests-OGD Iron-folic -B12 Suppliments Asthma Definition Causes Causes Causes Acute Management Beta 2 Agonist Long Term Treatment Long Term Treatment Treatment Summary Nursing Care Plan Nursing Care Plan STROKE Definition Stroke Anatomy Predisposing Factors CVA types Stroke Types Stroke Signs.Symptoms CVA diagnosis-CT Scan Stroke diagnosis-Brain MRI Stroke Treatment Management-Bp monitoring Management-Bp Rx Management-NGT feeding Catheterization Nursing Care Plan Nursing Care Plan CANCER Definition Causes Cancer Types-Breast Lung Cancer Colon Cancer Melanoma-Skin Cancer Lymphoma-Burkitts Retinoblastoma Cancer Treatment Modalities Chemotherapy Chemotherapy Administration Radiotherapy Immunotherapy Hormone Therapy-Breast CA Cancer Genetics Proto-Oncogenes Tumor-Suppresor Genes Nursing Care Plan Nursing Care Plan OPP OPP Poisoning Causes Signs and Symptoms Acute Management Medical Management Medical Management Medical Management TPN Nursing Care Plan Nursing Care Plan ISS Definition AIDS presentation AIDS presentation Opportunistic Infections-PCP Opportunistic Infections-esophageal candida Opportunistic Infections-Recurrent Herpes Opportunistic Infections-Kaposi Sarcoma Diagnosis-HIV test PCP Oxygen Therapy HAART Rx Opportunistic Rx-Septrin Opportunistic Rx-TB Rx Opportunistic Rx-Cryptococcal Meningitis Nursing Care Plan Nursing Care Plan DM Definition Types of DM Types of DM Risk Factors Treatment Oral Hypoglycemic Oral Hypoglycemic Insulin-Soluble Insulin-Mixtard Glucose monitoring Nursing Care Plan Nursing Care Plan
3. Surgical Ward FRACTURES Definition Causes Motorbike Accidents RTA Fracture types Diagnosis-X Ray Pain Management Surgical Rx-ORIF Traction POP-Backslab Wound Dressing Nursing Care Plan Nursing Care Plan BURNS Definition Burn type by Depth Burn type by SA extent Burn type by SA extent Pain Management Pain Management Aseptic dressing Burn Cream Corrective Surgery Corrective Surgery Physiotherapy Nursing Care Plan Nursing Care Plan
4. MCH ANC CARE Definition Pregnancy Health Education Danger Signs Breast Examination Self Breast Exam ANC Profile ANC Profile Weight.Height Measurement EDD Calculation Palpation.Fundal Height Estimation Palpatioon Tetanus Toxoid Admin TT Dosage Chart Nursing Care Plan Nursing Care Plan FP Definition Available Methods Depo Provera Progestin Only Pill Combined Pill 3 Year Implant 5 Year Implant 10 year copper T-380 IUCD Implant Insertion -anesthesia 3 Year Implant Insertion 5 Year Implant Insertion Implants removal set Implant Removal IUCD Insertion Nursing Care Plan Nursing Care Plan IMMUNISATION Definition MCH book MCH card DVI DVI Cold Chain(2-8)°C BCG Vaccine OPV Vaccine Pentavalent Vaccine Rotavirus vaccine Measles Rubella Vaccine Oral immunisation IM immunisation Nursing Care Plan Nursing Care Plan
5. Maternity Labour and Delivery Definition Stages of Labour First Stage Second Stage Third Stage Placenta Removal Monitoring Labour-Partograph Monitoring Labour-Partograph Contractions Monitoring Vaginal Examination Cervix nuli.multi para Cervical Effacement Dilatation Newborn Meconium Episiotomy Laceration Repair Nursing Care Plan Nursing Care Plan
6. NBU Neonatal Disease Definition Neonate Meconium Aspiration syndrome Birth Asphyxia Oxygen Therapy Antibiotic Cocktail Hyperbilirubinemia Phototherapy Treatment Phototherapy Treatment Ophthalmia Neonatorum Ophthalmia Neonatorum Ophthalmia Neonatorum Rx Nursing Care Plan Nursing Care Plan Preterm Definition Preterm Newborn Definition of Terms Mothers Kangaroo Mother Care Incubator care Expressed Breast Milk Expressed Breast Milk Suppliment feeds Nursing Care Plan Nursing Care Plan
7. Theatre Theatre Nursing Receiving Patients Scrub Nurse Scrub Nurse Roles Runner Nurse Runner Nurse Roles Recovery Nurse Recovery Nurse Roles Preparing Surgical Instruments Packing Instruments into Procedure Packs Surgical Tape Surgical Sterilization Nursing Care Plan Nursing Care Plan
8. Paediatric ward Childhood Diseases Definition of Terms Symptoms IMCI Triage Commom Conditions-Dehydration Dehydration-Management Tinea Capitis Tinea Corporis Tinea Management Malnutrition-Proteins Malnutrition-All foods Malnutrition-Management Burns Burns-Dressing Burns Rx Convulsion Convulsion Management Nursing Care Plan Nursing Care Plan
Psychiatry Ward Schizophrenia Psychosis Predisposing Factors Positive Symptoms Negative Symptoms Diagnosis Mental Status Assessment Treatment-Typical Antipsychotics Typical-Haloperidol Atypical Antipsychotics Atypical Antipsychotics Long Term Treatment Drug Side effects Drug Side effects ECT Therapy Nursing Care Plan Nursing Care Plan BIPOLAR Definition Types Predisposing Factors Diagnosis Bipolar DSM IV Symptoms and Signs Treatment Modalities Bipolar Treatment-Mood Stabilizers Treatment-Psychotherapy Nursing Care Plan Nursing Care Plan